肾脏-RTr fs T2

2018-04-19 12:13:15

1524111183580295.jpg

肾脏-RTr fs T2


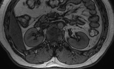
肾脏-T1 Inphase


肾脏-T1 Outphase



1524111182623268.jpg

肾脏-RTr DWI


1524111183965679.jpg

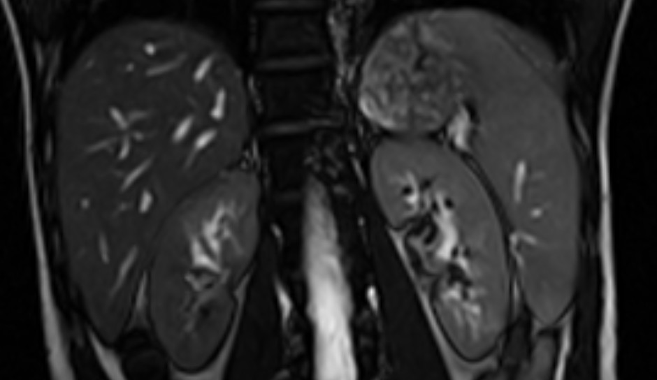
肾脏-TRUEFISP


上一篇
没有了!
没有了!
下一篇

苏州朗润医疗系统有限公司是创新高端医疗器械制造商和服务提供商。全面开展医学影像产品研发制造工作,产品线覆盖影像诊断系列产品、影像引导介入系列产品、生物安全系列产品及动物医疗系列产品四大领域。

Copyright © 2018-2022 苏州朗润医疗系统有限公司 版权所有        技术支持:苏州网站建设